NHS and private consultations
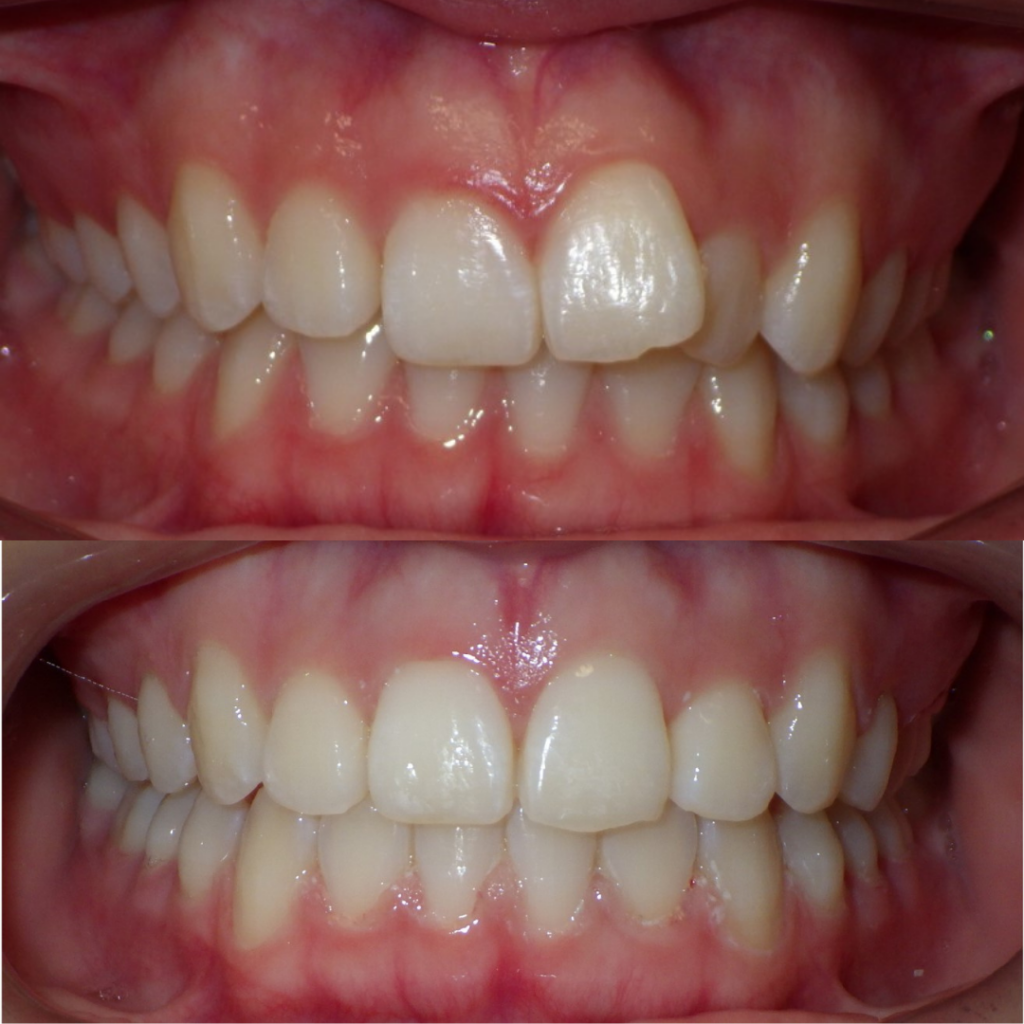
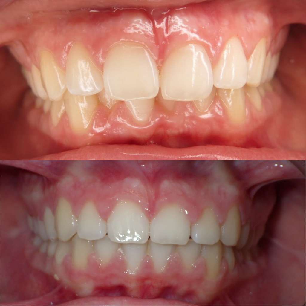
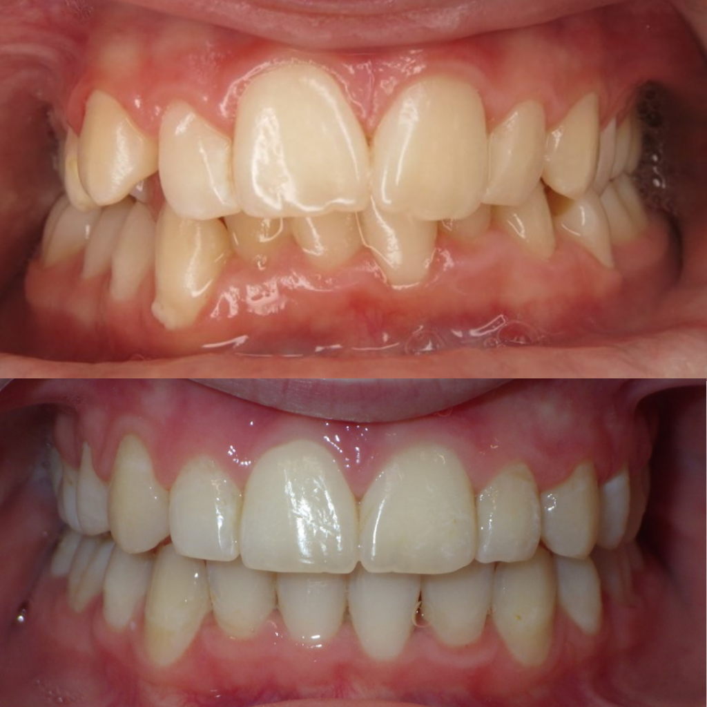
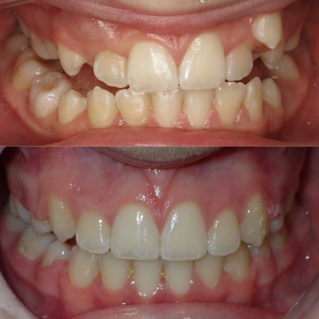
An orthodontic consultation is the first step to your treatment journey.
During the consultation your orthodontist will assess your teeth, gums and jaw to determine your customised treatment plan to achieve the best possible results.
We use the latest x-ray equipment and Invisalign iTero Lumina 3D scanning technology to help us plan your treatment. Our scanners use a small hand held wand to make an accurate 3D digital image of your teeth. This 3D image is used to customise your brace or aligners. Thanks to the use of these scanners there is no need for dental moulds to be taken.
Private patients interested in Invisalign can view a digital simulation of their treatment.


